رئيس جامعة طنطا يعلن نجاح فريق طبي في استئصال ورم خبيث يزن ٢ كجم من طفلة بعمر ١٠ سنوات

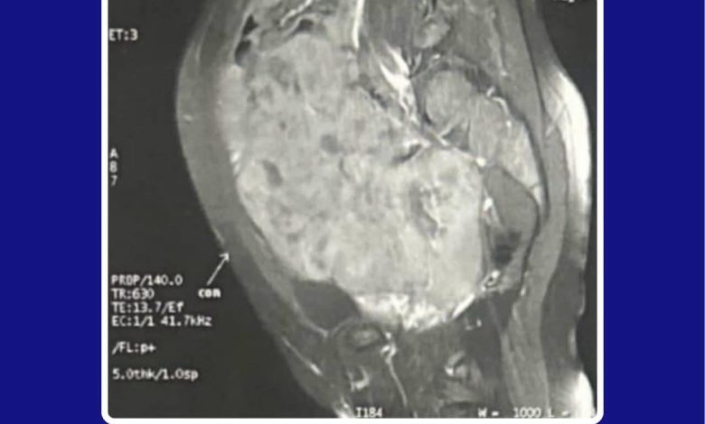
أعلن الدكتور محمد حسين محمود، رئيس جامعة طنطا، تحقيق إنجاز طبي جديد بمستشفيات الجامعة، حيث تمكن فريق جراحي متخصص بمستشفى سرطان الأطفال الجامعي من استئصال ورم خبيث ضخم يزن ٢ كيلوجرام من بطن وحوض طفلة تبلغ من العمر ١٠ سنوات، في جراحة دقيقة استغرقت ساعتين فقط، مؤكداً أن الحالة الصحية للطفلة مستقرة تماماً وغادرت المستشفى بسلام.
ووجه الدكتور محمد حسين الشكر والتقدير للدكتور محمد حنتيرة، عميد كلية الطب ورئيس مجلس إدارة المستشفيات الجامعية، والدكتور حسن التطاوي، المدير التنفيذي للمستشفيات الجامعية، على الجهود المبذولة في تطوير المنظومة الطبية داخل الجامعة، وتوفير كافة الإمكانات والتقنيات الحديثة التي تضمن تقديم رعاية صحية تليق بأبناء إقليم الدلتا، مشيداً بالمستوى الرفيع الذي وصلت إليه المستشفيات الجامعية في التعامل مع أصعب الحالات المرضية.
من جانبه، قال الدكتور محمد حنتيرة، إن المستشفى استقبل الطفلة وهي تعاني من آلام حادة وزيادة كبيرة في محيط البطن، حيث تم إجراء كافة الفحوصات اللازمة التي كشفت عن وجود ورم يزن 2 كجم ويمتد ليشمل معظم منطقة البطن والحوض، مما استوجب تدخلاً جراحياً عاجلاً داخل غرف العمليات المجهزة بأحدث النظم العالمية والمخصصة لأورام الأطفال، لضمان استئصال الورم بدقة وكفاءة عالية.
ووجه الشكر للدكتور عبد الرحمن المشد المدير التنفيذي لمستشفى سرطان الأطفال الجامعي، والدكتورة إسلام الهواري أستاذ مساعد أمراض الدم وأورام الأطفال.
وأشاد بكفاءة الفريق الطبي الذي أجرى الجراحة، والذي ضم نخبة من الكوادر بقسم جراحة الأورام وجراحة الأطفال، وهم الدكتور أحمد الجندي، والدكتور محمود ضرغام، والدكتور أحمد يحيى، والطبيب محمد فوزي، كما ثمن دور فريق التخدير والعناية المركزة بقيادة الدكتور عمر القاضي، والدكتور أحمد عريبي، والطبيب هشام النزهي، مؤكداً أن تكاتف هؤلاء الأطباء مع هيئة التمريض وفريق مكافحة العدوى بالمستشفى كان العامل الأساسي في عبور هذه الجراحة المعقدة إلى بر الأمان.
جدير بالذكر، أن مستشفيات طنطا الجامعية تولي اهتماما كبيرا بضرورة التشخيص المبكر لأورام الأطفال، وتوعية أولياء الأمور بأهمية سرعة التوجه لعيادات التشخيص المبكر بمستشفى سرطان الأطفال الجامعي في حال ملاحظة أي أعراض غير طبيعية، لضمان التعامل الطبي السريع مع الحالات، وتقديم كافة الخدمات العلاجية والجراحية وفق أعلى المقاييس الدولية، كما يمثل التعاون بين مستشفيات جامعة طنطا لعلاج سرطان الأطفال ومؤسسة 57357 نموذجاً رائداً في تعزيز كفاءة المنظومة الصحية، من خلال برامج تدريبية متخصصة تهدف إلى نقل الخبرات والبروتوكولات العلاجية وتطوير المهارات العلمية والعملية للأطقم الطبية.





